Advertisement
Moderna’s personalised mRNA cancer vaccine shows promise for next phase of trials
- Data from Moderna, Merck skin cancer Phase 2 trials shows ‘extremely strong result’
- Company says Hong Kong could play a role in future mRNA vaccine development
Reading Time:3 minutes
Why you can trust SCMP
4

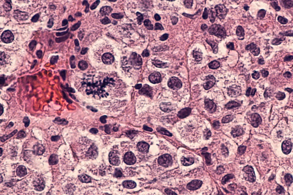
US pharmaceutical firm Moderna has reported what it says are “extremely strong” results for its personalised mRNA cancer vaccine in cancer treatment.
Moderna said the vaccine reduced the risk of recurrence or death of melanoma by 44 per cent when paired with Merck’s skin cancer medicine, compared with using the drug alone, according to Phase 2 trial results.
“This is an extremely strong result and really underpins the power that mRNA can now bring as a new paradigm shift potentially for the treatment of cancer patients,” Moderna’s chief medical officer Paul Burton said in an interview with the Post.
Advertisement
Burton said the companies would expand future trials of the cancer vaccine to the world and to other types of cancer.
“We’re absolutely prepared and really want to double down. We’ll share the data with regulators in the US and then around the world and discuss it with them,” he said.
Advertisement
Burton said the company planned to publish the full trial data of the 157 patients with stage three or four melanoma in a scientific journal as soon as possible.
Advertisement
Select Voice
Choose your listening speed
Get through articles 2x faster
1.25x
250 WPM
Slow
Average
Fast
1.25x