US study finds that three-dimension mammograms detect cancer better
US study shows the technology reduces the number of women needing re-examination

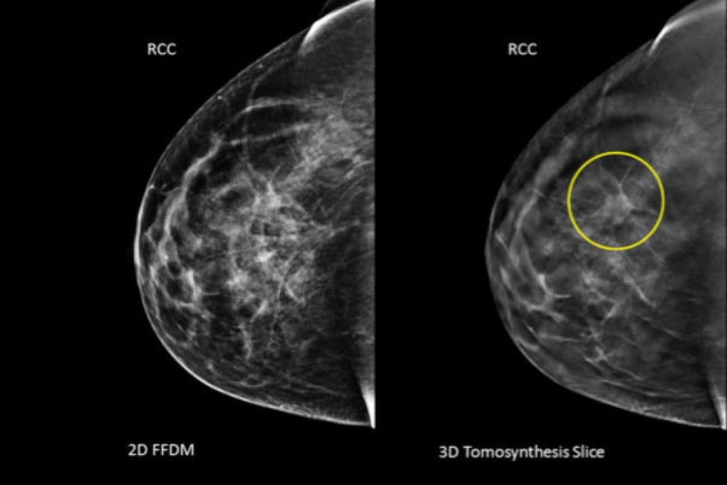
Adding three-dimensional mammography to conventional digital inspection substantially improved detection of invasive breast cancers and reduced the number of women called back for re-examination, according to the first large study of the technology.
Doctors in 13 academic and community health settings discovered 41 per cent more of the most lethal cancers when women had both traditional digital mammograms and the 3D screening known as "tomosynthesis".
The technology, approved by the United States Food and Drug Administration in 2011, provides images that appear as slices of the breast, removing the effect of overlapping breast tissue that can obscure views of tumours.
Sarah Friedewald, co-medical director of the breast unit at Advocate Lutheran General Hospital in Illinois, who led the study released on Tuesday, unequivocally endorsed the value of 3D mammography over conventional imaging.
"In my opinion," she said of any woman about to be screened for breast cancer, "she should have the 3D mammogram."
The paper, published online in the Journal of the American Medical Association, reviewed 454,850 examinations from 13 sites across the country, 281,187 conducted with digital mammography and 173,663 that provided the traditional mammogram and tomosynthesis. The improved technology found 41 per cent more invasive cancers (4.1 per thousand women screened versus 2.9 per thousand) and more cancers overall.