Tapeworm in Chinese man’s brain four years removed by British scientists
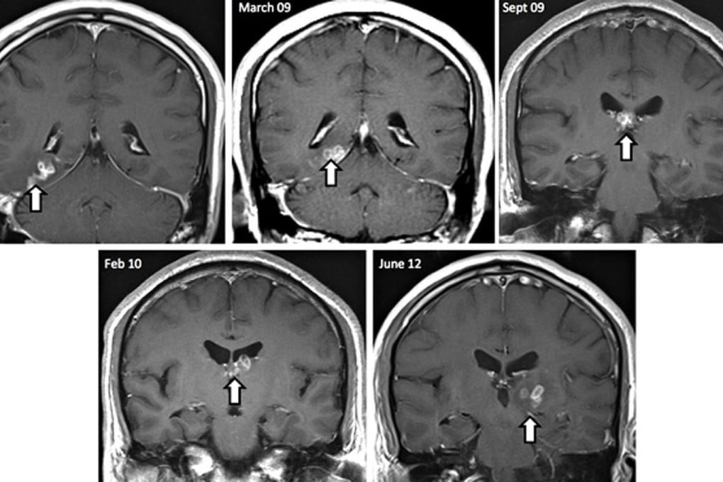
Scientists in Britain have removed and studied a rare tapeworm that lived in a Chinese man's brain for four years, researchers said.

Scientists in Britain have removed and studied a rare tapeworm that lived in a Chinese man's brain for four years, researchers said.
During that time, the parasite travelled from the right side of the brain to the left, absorbing nutrients from the brain itself as it went.
The tapeworm causes sparganosis, an inflammation of body tissues that can trigger seizures, memory loss and headaches when it occurs in the brain.
Surgeons removed it and the patient was now "systemically well", the Wellcome Trust Sanger Institute said on Thursday.
It was the first time the tapeworm, Spirometra erinaceieuropaei, has been reported in Britain. Only 300 cases have been reported since 1953.
The worm in the man's brain was 1cm long, but the species can grow to more than a metre.