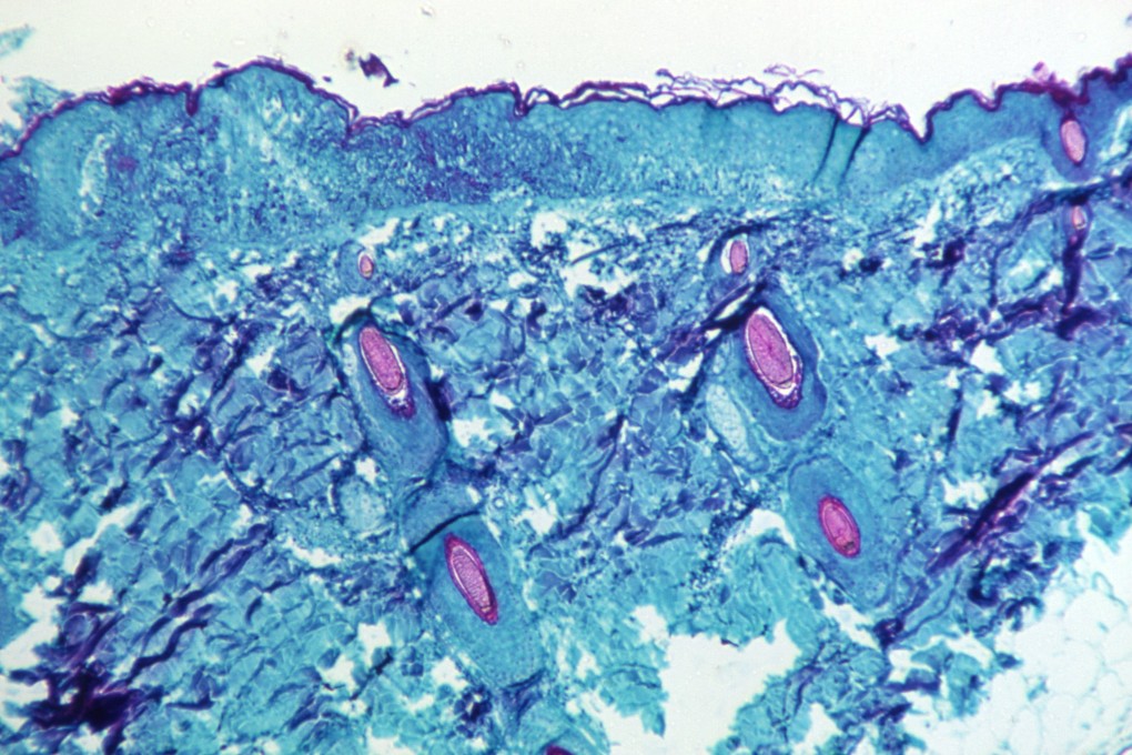
Monkeypox: Don’t make the same mistake as you did with coronavirus, disease experts urge WHO and governments
- Scientists arguing governments and WHO should not repeat early missteps of the Covid-19 pandemic that delayed detection of cases, helping the virus spread
- They are calling for clearer guidance on isolation when infected, explicit advice on protecting people at risk, and improved testing and contact tracing

Some prominent infectious disease experts are pushing for faster action from global health authorities to contain a growing monkeypox outbreak that has spread to at least 20 countries.
They are arguing that governments and the World Health Organization should not repeat the early missteps of the Covid-19 pandemic that delayed the detection of cases, helping the virus spread.
While monkeypox is not as transmissible or dangerous as Covid, these scientists say, there needs to be clearer guidance on how a person infected with monkeypox should isolate, more explicit advice on how to protect people who are at risk, and improved testing and contact tracing.
“If this becomes endemic (in more countries), we will have another nasty disease and many difficult decisions to take,” said Isabelle Eckerle, a professor at the Geneva Centre for Emerging Viral Diseases in Switzerland.
The WHO is considering whether the outbreak should be assessed as a potential public health emergency of international concern (PHEIC), an official said. A WHO determination that an outbreak constitutes a global health emergency – as it did with Covid or Ebola – would help accelerate research and funding to contain a disease.
“It is always under consideration, but no emergency committee as yet (on monkeypox),” Mike Ryan, director of the WHO’s health emergencies programme, said on the sidelines of the agency’s annual meeting in Geneva.