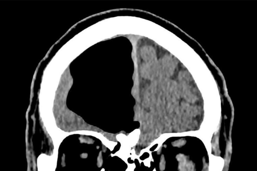
Doctors find giant air pocket where part of man’s brain should be
The man’s air cavity in his head measured almost 9cm at its widest point

The 84-year-old man arrived in the emergency room with complaints that weren’t uncommon for a patient his age.
He had reported feeling unsteady over the past several months, culminating in repeated falls in recent weeks. In the three days leading up to his hospital visit, his left arm and leg had noticeably weakened.
Still, there were no red flags in the man’s medical history. He didn’t smoke. He rarely drank. A blood test detected nothing abnormal.
“There was no confusion, facial weakness, visual or speech disturbance,” doctors stated in a summary of the man’s case published on February 27 in the medical journal BMJ Case Reports. “He was otherwise fit and well, independent with physical activities of daily living . . . and lived at home with his wife and two sons.”
In other words, doctors thought, there was nothing apparent that would have suggested a clear reason for his symptoms. In a way, they wouldn’t be wrong.