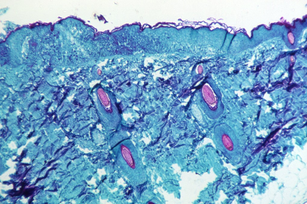
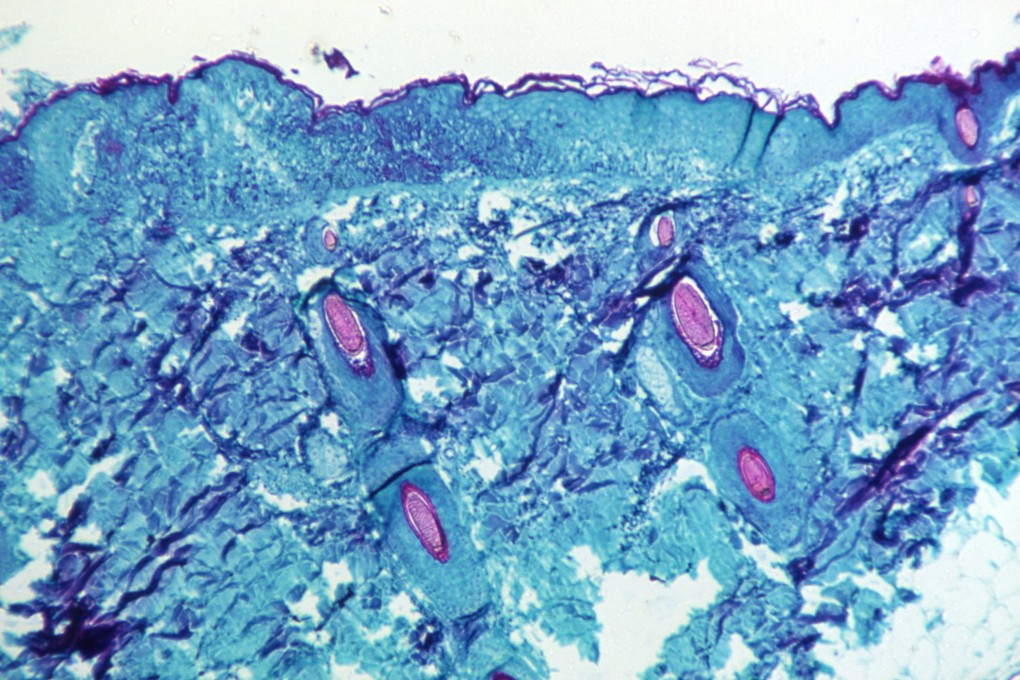
WHO calls emergency meeting as monkeypox cases cross 100 in Europe
- Suspected or confirmed cases have been reported in Belgium, France, Germany, Italy, Portugal, Spain, Sweden and the UK, as well as the US, Canada and Australia
- The disease typically spreads through close contact and has rarely spread outside Africa, so this series of infections has triggered concern

The World Health Organization was due to hold an emergency meeting on Friday to discuss the recent outbreak of monkeypox, a viral infection more common to west and central Africa, after more than 100 cases were confirmed or suspected in Europe.
In what Germany described as the largest outbreak in Europe ever, cases have been reported in at least eight European countries – Belgium, France, Germany, Italy, Portugal, Spain, Sweden and the United Kingdom – as well as the United States, Canada and Australia.
First identified in monkeys, the disease typically spreads through close contact and has rarely spread outside Africa, so this series of cases has triggered concern.
However, scientists do not expect the outbreak to evolve into a pandemic like Covid-19, given the virus does not spread as easily as Sars-COV-2.
Monkeypox is usually a mild viral illness, characterised by symptoms of fever as well as a distinctive bumpy rash.
