Advertisement
X-ray study on elderly coronavirus patients could pave way for accessible and inexpensive treatment: researchers
- Study of 10 patients by Atlanta university found radiation therapy resulted in shorter hospital stays, better intubation rates and improved lung condition
- Chinese radiation medicine professor says X-ray may be a remedy of last resort in some cases but there is no evidence it is justified for mass treatment
Reading Time:3 minutes
Why you can trust SCMP

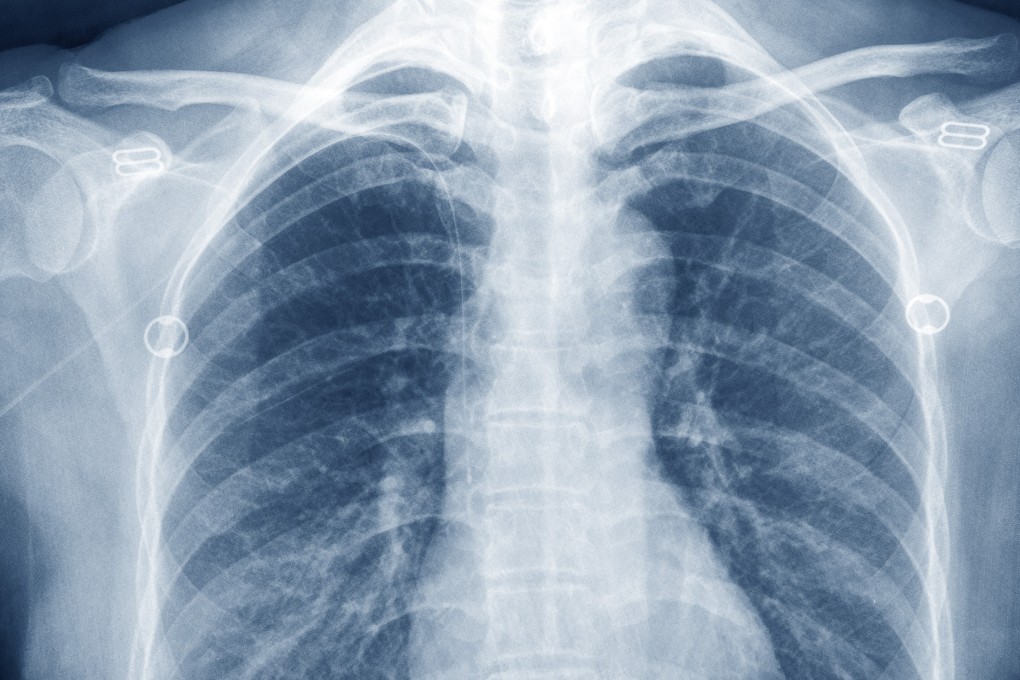
X-rays have shown promise in helping elderly patients to fight the coronavirus, according to a new study from the United States.
Ten Covid-19 patients who volunteered to have radiation therapy sent through their chests recovered much faster than those without, the researchers found.
The X-ray could be a “well-tolerated, inexpensive, and globally available Covid-19 treatment”, said the research team from Emory University in Atlanta, in a non-peer-reviewed paper posted on Medrxiv.org on Tuesday.
Advertisement
The median time of clinical recovery after the radiation therapy was three days, just a quarter of the time of those taking more common treatments, such as remdesivir and hydroxychloroquine.
The volunteers’ median age was 78, ranging from 43 to 104 years old. All of them were on ventilators with declining conditions. Most – 70 per cent – were African Americans.
Advertisement
Advertisement
Select Voice
Choose your listening speed
Get through articles 2x faster
1.25x
250 WPM
Slow
Average
Fast
1.25x