Advertisement
Giant panda Mei Xiang pregnant and due within days, says US National Zoo
- Chief vet declares joyful moment in middle of coronavirus pandemic
- Mei Xiang was artificially inseminated in March with frozen semen from zoo’s male panda, Tian Tian
Reading Time:1 minute
Why you can trust SCMP

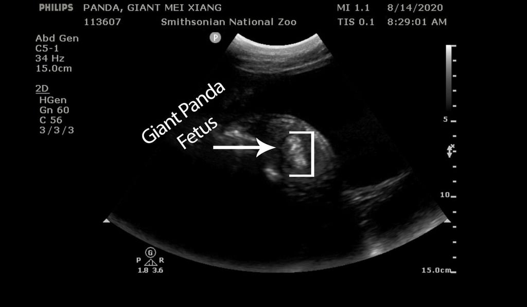
Mei Xiang, the female giant panda at the National Zoo in Washington, is pregnant and could give birth in the next few days, the zoo announced on Monday.
“Keep your paws crossed!” the US capital’s zoo said on its Twitter feed.
It said that veterinarians had detected a fetus during an ultrasound of the 22-year-old giant panda.
Advertisement
“Her fetus was kicking + swimming in the amniotic fluid, and its spine + blood flow were visible,” the zoo said. “We hope to have a healthy cub in the coming days!”

Advertisement
“In the middle of a pandemic, this is a joyful moment we can all get excited about,” Don Neiffer, the zoo’s chief veterinarian, said in a statement.
Advertisement
Select Voice
Select Speed
1.00x