Google AI system could detect breast cancer at least as accurately as expert radiologists, study finds
- A Google artificial intelligence system proved as good as expert radiologists at detecting which women had breast cancer
- The system was trained on tens of thousands of mammograms, and could improve the accuracy of screening for breast cancer

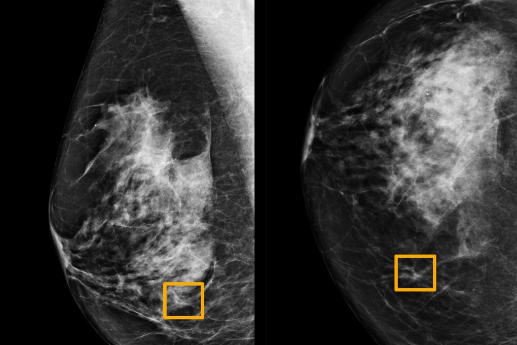
A Google artificial intelligence system proved as good as expert radiologists at detecting which women had breast cancer based on screening mammograms and showed promise at reducing errors, researchers in the United States and Britain reported.
The study, published in the journal Nature on Wednesday, is the latest to show that artificial intelligence (AI) has the potential to improve the accuracy of screening for breast cancer, which affects one in eight women globally.
Radiologists miss about 20 per cent of breast cancers in mammograms, the American Cancer Society says, and half of all women who get the screenings over a 10-year period have a false positive result.
The findings of the study, developed with Alphabet’s DeepMind AI unit, which merged with Google Health in September, represent a major advance in the potential for the early detection of breast cancer, Mozziyar Etemadi, one of its co-authors from Northwestern Medicine in Chicago, said.
The team, which included researchers at Imperial College London and Britain’s National Health Service, trained the system to identify breast cancers on tens of thousands of mammograms.